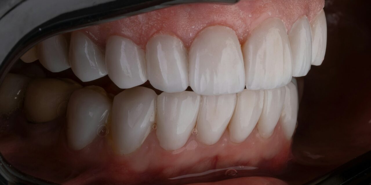
People with eating disorders can suffer from oral health problems as well. This is because many of the behaviors associated with anorexia nervosa and bulimia nervosa—such as binge eating, self-induced vomiting, and use of diuretics or laxatives—cause changes in the mouth. For example, repeated episodes of vomiting, which is common in people with bulimia, release...















